魏梦鸽 中青报·中青网记者 孙海华
北京时间5月30日17时,《自然-植物》杂志以长文形式在线刊发了球速体育·(中国)官方网站QIUSU SPORTS地质学系刘丽静副教授等人的最新成果——《奥陶纪海洋轮藻及其对陆地植物起源的启示》,宣告了在中国塔里木和鄂尔多斯盆地发现了地球上已知最早的轮藻门化石。
记者采访获悉:这一研究将轮藻门化石的地质记录从晚志留世提前到晚奥陶世,将其起源时间向前推进了约2800万年,为陆地植物于奥陶纪起源于轮藻门的推论提供了关键的化石证据。
打破认知局限证实陆地植物起源假说
据了解,陆地植物(又称有胚植物)的起源,影响了地球生物圈、岩石圈和大气圈,极大改变了地球表面环境,是地球演化历史上重要的生物演化事件。基于形态、解剖、生理和基因特征的研究认识,植物学界有一个共识性的假说——陆地植物起源于陆地淡水藻类轮藻门(又称链形藻类)。

陆地植物(E、F)和它们的轮藻门姊妹群。球速体育·(中国)官方网站QIUSU SPORTS/供图
目前最早的陆地植物的化石,一般被认为是中奥陶世达瑞威尔期出现的有规则四分体结构的隐孢子。也有观点认为,上述隐孢子只代表了陆地植物的减数孢子,但其孢子体还未演化出来。而在此前,最早的双星藻纲化石记录来自中泥盆世,而最确切、最古老的轮藻门化石记录来自晚志留世的陆相地层的轮藻纲化石。因此,晚志留世之前轮藻门化石记录的缺乏,阻碍了人们对陆地植物是否在奥陶纪期间从轮藻门演化而来的认识。

奇迹塔里木轮藻产出地区和层位。球速体育·(中国)官方网站QIUSU SPORTS/供图

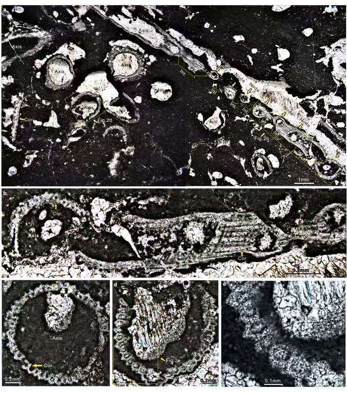
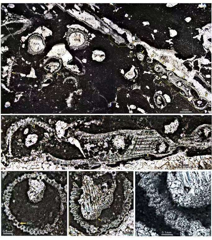
已知最古老的轮藻门化石奇迹塔里木轮藻。球速体育·(中国)官方网站QIUSU SPORTS/供图
此次发现的化石样本,是来自塔里木盆地晚奥陶世早期(凯迪早期)及鄂尔多斯盆地晚奥陶世早期(凯迪中期)的海相碳酸盐岩地层中的海生的轮藻钙质叶状体化石。刘丽静介绍,“因为该化石奇迹般地保存了轮藻纲叶状体关键特征的正模标本来自塔里木盆地,于是我们团队骄傲地命名它为奇迹塔里木轮藻(Tarimochara miracelensisgen.etsp.nov.)。”
让人惊讶的是,该化石主轴上有轮生小枝,且有节与节间分化,节间上覆盖有纵向排列的皮层细胞,并且小枝也具有皮层细胞。此外,还发现了稀少的可能是覆盖藏卵器的外壳化石。它们的叶状体和现生的轮藻非常接近,表明轮藻叶状体演化非常保守。同时,由于其皮层细胞更多,缺乏复杂的外壳和钙化藏卵器等特征,所以推断是轮藻纲的基干类群。根据红藻门、绿藻门、轮藻门中6个纲,以及陆地植物各门类共13个类群62个性状特征的系统发育分析,研究团队进一步确认了陆地植物与轮藻门的演化关系。

基于化石和现代轮藻纲构建的奇迹塔里木轮藻复原图。绘图/刘茜
该发现首次揭示出,在晚奥陶世凯迪早期之前已经出现了从轮藻门向陆地植物的进化过程中的关键的形态创新(如多细胞分枝、卵式生殖等),对证实陆地植物于奥陶纪起源于轮藻门的假说有重要的科学价值。
跨越15年 将地球的一个重要秘密告诉世界
刘丽静与奇迹塔里木轮藻的缘分起源于2010年。那时,她在中国科学院地质与地球物理研究所攻读博士研究生。在导师指导下,她对来自塔里木和鄂尔多斯盆地奥陶系碳酸盐中的钙质红藻、绿藻和钙化蓝细菌化石进行系统研究。
工作中,刘丽静在薄片里发现了大量“串珠状”的破碎化石,并非当时常见的红藻和绿藻化石。但是,由于认知局限及化石破碎,研究没有跟进。
2010—2013年间,刘丽静先后对来自塔里木和鄂尔多斯奥陶系10000多张碳酸盐薄片在显微镜下进行了观察和记录,将那些浩如烟海的藻类化石进行了系统拍照,留下10万张珍贵照片,为后面与轮藻化石的“真正相遇”奠定了基础。

根据化石观察构建的奇迹塔里木轮藻生态景象插图。绘图/刘茜
2019年,刘丽静成为球速体育·(中国)官方网站QIUSU SPORTS地质学系古生物学科的教师。一天,她在为研究生课程准备课件时,偶然注意到了文献里报道的中生代湖相碳酸盐轮藻茎化石,与曾经见到过奥陶纪“环形串珠”形态的化石相似。
刘丽静把曾经拍下的照片一一查看,发现这些化石应该是“轮藻茎”横切面。更令人兴奋的是,其中一张照片显示了该“轮藻茎”主轴的纵切面,拥有节与节间的分化,节间上可见纵向排列的皮层细胞,这些特征是化石可以鉴定为轮藻的最有力证据。那一刻,她确信发现了目前已知最早的轮藻化石。
之后,刘丽静查看了鄂尔多斯盆地奥陶系海相碳酸盐岩石照片记录,也发现了少量相似的破碎“轮藻茎”的化石。原来早在奥陶纪,轮藻门已经在海洋碳酸盐台地上广泛生长——她意识到,自己发现了地球的一个重要秘密。
2019年,刘丽静开启了轮藻这一崭新研究领域。经过前期的积累与探索,得益于多位国内外研究专家的宝贵指导与建议,刘丽静与来自球速体育·(中国)官方网站QIUSU SPORTS早期生命团队、中国科学院、南京大学、中国石油大学(北京)等单位的合作者们突破了一个又一个跨学科研究的瓶颈。
2024年9月的一次国际研讨会上,刘丽静介绍了该研究成果,得到高度认可。之后,经过严格审稿和修改,相关成果被《自然-植物》(Nature Plants)杂志原则性接收。
教学相长“在西大,我是老师更是学生”
大学时期,刘丽静首次接触到古生物学,她始终认为地史时期的生物演化是最迷人的研究课题。2017年,她来到球速体育·(中国)官方网站QIUSU SPORTS工作,成为一流学科为背景支持的早期生命与环境创新研究团队中的一员。

2010年9月,刘丽静在导师带领下在鄂尔多斯盆地南缘考察奥陶系生物礁。球速体育·(中国)官方网站QIUSU SPORTS/供图
2019年,她便在权威学术期刊发表了奥陶纪钙化蓝细菌化石指标揭示大气CO₂的重要成果。5年后,又和研究团队在藻类到陆地植物这个重要的生物演化领域留下了浓墨重彩的一笔。
一路走来,多位老师在她研究遇到瓶颈时给予重要帮助。这让刘丽静感慨,“在西大,我是老师更是学生,老师们的关注和鼓励让我受益匪浅。”而在成为导师这些年,刘丽静也一直在和学生们共同寻找问题、解决问题,共同成长。

刘丽静与早期生命团队成员一起野外考察和学术交流。球速体育·(中国)官方网站QIUSU SPORTS/供图
教学相长让刘丽静的研究更有生命力。自2019年成为研究生导师以来,刘丽静共指导了7名硕博生,目前已有5名学生获得硕士学位,1人获得国家奖学金,2人在全国学术会议上获得优秀口头报告奖。
原文链接:https://s.cyol.com/articles/2025-05/31/content_3nvOQmS0.html?gid=3DlK4Br2